L’odontologie héroïque : Patients difficiles, choix difficiles
Par Raymond Kimsey, DMD
Mon cabinet est ouvert aux patients ayant des besoins particuliers et je reçois souvent des recommandations d’autres praticiens pour des cas difficiles. Aussi difficiles qu’ils puissent être, je les trouve particulièrement gratifiants.
Figure 1 : Carie rampante
Naomi avait 10 ans et souffrait d’une phobie dentaire aiguë et de caries endémiques (figure 1). Elle était si difficile à gérer qu’elle n’avait pas pu être soignée ailleurs. Elle m’a été adressée, ce qui n’était pas très pratique pour sa mère, qui devait faire 40 miles en voiture pour se rendre à mon cabinet à Miami.
Mon premier défi a été d’établir la compréhension et la communication avec une enfant de 10 ans qui venait d’un milieu culturel différent et qui avait peur des dentistes. J’ai passé beaucoup de temps à lui parler lors de notre premier rendez-vous et, grâce à mes nombreuses années d’expérience dans des situations similaires, j’ai pu gagner sa confiance. Je lui ai expliqué que les dentistes traitaient généralement d’abord les dents du fond, mais qu’aujourd’hui, nous allions nous efforcer de rendre ses dents de devant saines et belles. Naomi était d’accord.
Dans ce genre de situation, il est souvent préférable d’administrer un sédatif au patient. Ayant réussi à gérer sa peur et son anxiété, Naomi s’est montrée coopérative et j’ai administré un sédatif par voie intraveineuse. Figure s 2 et 3 montrent ses dents antérieures supérieures après l’élimination des caries et des zones de de décalcification décalcification sévère. Notez les expositions pulpaires sur les deux centrales centrales.
Figure 2 : Exposition de la pulpe après élimination des caries et de la dentition fortement décalcifiée.
Figure 3 : Vue linguale montrant une perte excessive de la structure dentaire
J’étais alors confronté à une série de décisions sur la manière de traiter les expositions et de restaurer les dents. Compte tenu du manque d’hygiène et de la négligence, ainsi que de l’incertitude quant au respect du régime de suivi par Naomi et sa mère, il était prioritaire de terminer ce cas antérieur en une seule visite. Il y avait une possibilité raisonnable que le tissu pulpaire soit contaminé, et j’ai pris la décision d’effectuer immédiatement un traitement de canal sur les incisives centrales. Une fois le traitement endodontique terminé, j’ai choisi d’utiliser une combinaison de matériaux de restauration afin de capitaliser sur leurs forces individuelles, offrant ainsi à cet enfant la meilleure chance de sauver ses dents.
J’ai choisi trois matériaux de restauration : un composite conventionnel qui présente depuis longtemps une excellente résistance à l’usure bien qu’il souffre d’un taux élevé de caries récurrentes ; Activa Bioactive-Restorative, un matériau à double polymérisation qui offre un niveau élevé de bioactivité dans une matrice de résine caoutchoutée solide et résistante aux fractures ; et Activa Presto, un composite bioactif à faible fluidité et à polymérisation légère contenant la technologie brevetée Crysta MCP (phosphate de calcium fonctionnalisé par du méthacrylate). Presto offre une esthétique supérieure à Activa Bioactive-Restorative et partage les minéraux supplémentaires et le comportement dynamique des matériaux Activa Bioactive. Activa Bioactive et Activa Presto libèrent tous deux du calcium, du phosphate et du fluorure, ce qui favorise la reminéralisation et aide à sceller les marges et à prévenir les microfuites, qui sont la principale cause de caries secondaires. J’utiliserais les forces de ces trois matériaux de la manière suivante.
Après le mordançage et l’application de l’agent de liaison Dentastic Uno, j’ai commencé la reconstitution du noyau de base avec Activa Bioactive-Restorative. Les propriétés de polymérisation double ont permis un remplissage rapide tout en assurant une polymérisation complète en profondeur dans la chambre pulpaire. J’ai ensuite appliqué une couche de composite conventionnel pour renforcer la résistance à l’usure.
Les surfaces labiales ont été restaurées avec les teintes Activa Presto A2 et A3.5 en utilisant ce que j’appelle la « technique du tourbillon » pour créer un gradient de teinte naturel. Pour ce faire, je place côte à côte des incréments de deux teintes Presto différentes. Avant le durcissement, j’utilise la pointe d’un explorateur pour faire tourner et mélanger le matériau au niveau des marges, créant ainsi une gamme de teintes pour la transition et un résultat cosmétique (Figure 4).
Figure 4 : Résultats de la technique « swirl » pour le mélange des teintes A2 et A3.5 du composite bioactif Activa Presto à faible fluidité.
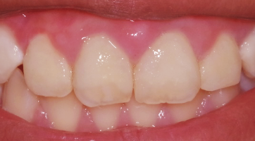
Figure 5 : Photo post-opératoire immédiate
Figure 6 : Le suivi après 10 semaines montre une cicatrisation des tissus et une amélioration de l’hygiène bucco-dentaire.
J’ai effectué la procédure en une seule visite. La figure 5 montre le résultat immédiat. Les tissus mous auront besoin d’un certain temps pour cicatriser. Naomi est revenue au bout de dix semaines et j’ai été ravie de constater un profond changement dans son attitude et dans sa façon de prendre soin d’elle-même. J’étais désormais son amie de confiance et selle était ravie de me voir. Elle se brossait les dents et avait amélioré son alimentation. Elle respirait la confiance. Les tissus mous avaient magnifiquement cicatrisé (Figure 6)et l’étui était superbe. Mais cette ne se limite pas à la restauration de dents. Il peut s’agir d’un événement qui changera la vie d’une personne. enfant de 10 ans qui avait besoin de savoir que quelqu’un se souciait suffisamment d’elle pour la guider sur le chemin qui la mènerait à la vie.o de bons choix, la confiance dans les professionnels de la santéet la confiance en soi.

Le docteur Kimsey exerce en cabinet privé à Coral Gables, en Floride. Ses spécialités sont l’implantologie, l’anesthésie et la sédation IV, ainsi que la prise en charge des patients présentant des déficiences mentales et physiques.



